Teeth Whitening
FREE CONSULTATION with 0% FINANCE
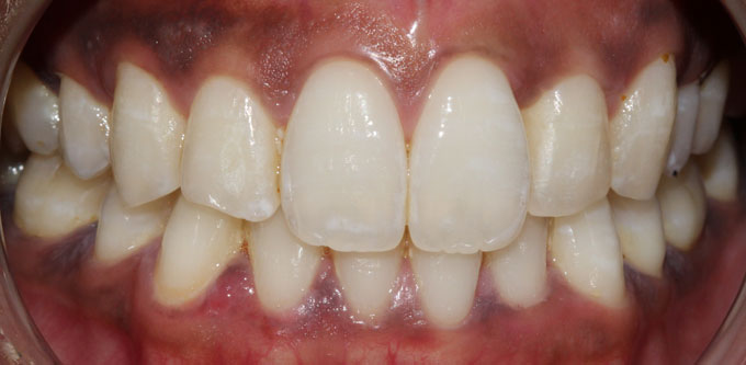
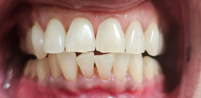
An increasingly popular treatment for restoring the sparkle to your smile, professional teeth whitening is a quick, effective and safe procedure for removing stubborn stains on the teeth that can not be removed by brushing alone. Our procedures are strong enough to whiten your teeth, yet will not damage or weaken them. Results can be dramatic, yet may vary from person to person, due to factors such as tooth density, tooth porosity and lifestyle habits.

Boutique Teeth Whitening
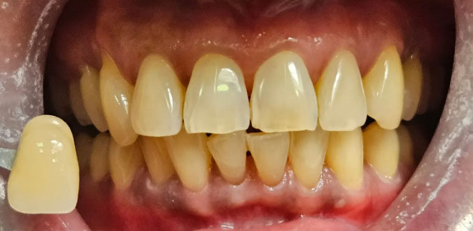
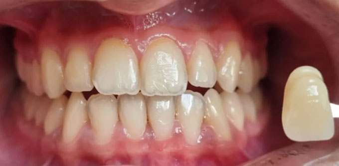
We offer a number of teeth whitening systems the most popular being home whitening. You will receive a custom-made set of trays which fit over your teeth comfortably. The active teeth whitening gel is placed in the trays and fitted onto your teeth. It usually takes up to 1 to 2 weeks to see any noticeable effects of this type of treatment.
Our standard teeth whitening systems require fortnightly maintenance to ensure that your smile keeps that new brighter look. This would involve wearing the trays for one night every other week.
Enlighten Teeth Whitening
Our in-surgery treatment takes around an hour and can brighten your smile immediately, so if you are looking for a quick fix, this maybe it.
Enlighten whitening which uses the home whitening technique for 2 weeks, then you attend an appointment in surgery for a supercharged gel with higher concentration of carbomide peroxide, for a guaranteed brighter smile.
Enlighten treatment provides a desensitising treatment prior to whitening to reduce sensitivity, if you do experience sensitivity, smearing sensitive toothpaste on the affected areas works really well.
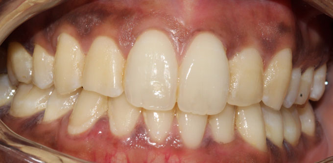
Before & After
The hygiene/airflow appointment with Mr Vytautas Berenis is absolutely excellent, professional and outstanding. I would highly recommend him as he works very gently , no pain and the cleaning of the teeth is exceptional. The front desk staff is very polite, nice and helpful.
Thank you all. I will definitely book again .
Bianca Manea
What our patients say
I am very pleased with the service I received. The team showed excellent teamwork and clear communication, which made me feel comfortable throughout the process.
I was given professional and effective treatment for my dental issues, and I truly appreciate the care and attention provided.
Selvaratanam Ganeshan
I had a filling fall out as I was on holiday and being the scaredy cat that I am I waited until I was back in the UK to get it fixed – it was my first time going to Imperial Dental Care as they were the only dentist I could find that had any next day emergency openings; Dr Natasha was extremely professional and gentle and it might’ve been my very first pleasant experience at a dentist 10/10 all around.
Mia Saldanha


