What Is Teeth Whitening?
Teeth whitening is a cosmetic dental treatment designed to safely lighten the colour of your natural teeth, giving you a brighter, more youthful smile.
It works by using a professional whitening gel that breaks down stains and discolouration caused by everyday habits such as coffee, tea, red wine, or smoking.
At our practice, we use the Boutique Whitening System — a trusted, dentist-supervised home whitening treatment that delivers professional, long-lasting results.
What Does Teeth Whitening Do?
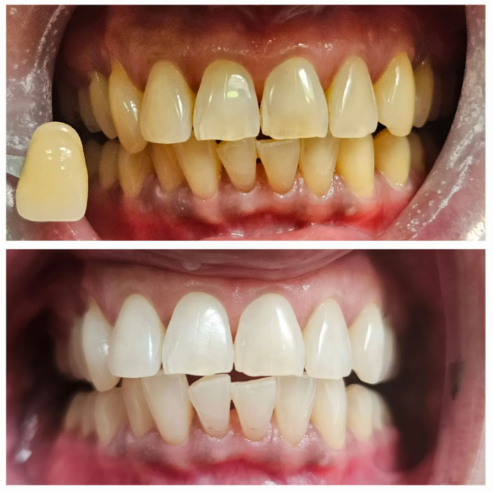
Teeth whitening lifts deep-set stains and lightens the natural shade of your enamel without damaging the tooth surface.
It can:
- Brighten your overall smile
- Remove stains caused by food, drinks, and smoking
- Reverse discolouration related to ageing
- Refresh your appearance quickly and safely


Benefits of Professional Whitening
- Safe and dentist-supervised: Your treatment is prescribed and monitored by a dental professional to ensure comfort and effectiveness.
- Custom-made whitening trays: Designed to fit your teeth perfectly for even whitening and minimal sensitivity.
- Brighter, natural results: The degree of whitening can be tailored to your preference.
- Convenient and flexible: Boutique Whitening allows you to whiten at home, either during the day or overnight.
- Long-lasting: With good oral care and occasional top-ups, results can last for years.
What Is Boutique Whitening?
Boutique Whitening is a premium, professional take-home whitening system available only through dental practices. It combines advanced whitening gels with custom-made trays for maximum comfort and effectiveness.
Boutique offers two main options:
- Boutique By Day: Worn for just 1 hour per day.
- Boutique By Night: Worn overnight while you sleep.
Both options deliver brilliant results — the choice simply depends on your lifestyle and preference.
What to Expect at Your Whitening Appointment
- Consultation & Shade Assessment
- Your dentist will examine your teeth and gums to ensure whitening is suitable for you.
- Your current tooth shade will be recorded so you can track your progress.
- Your dentist will examine your teeth and gums to ensure whitening is suitable for you.
- Custom Tray Impressions
- Impressions (or digital scans) of your teeth are taken to create your custom whitening trays.
- These trays fit snugly and evenly distribute the whitening gel.
- Impressions (or digital scans) of your teeth are taken to create your custom whitening trays.
- At-Home Whitening Treatment
- Once your trays are ready (usually within a few days), you’ll return to collect them and your Boutique Whitening kit.
- Your dentist or hygienist will explain exactly how to apply the gel and how long to wear your trays each day.
- Once your trays are ready (usually within a few days), you’ll return to collect them and your Boutique Whitening kit.
- Follow-Up and Results
- After 2–3 weeks, your teeth will appear noticeably brighter and more even in colour.
A review appointment may be scheduled to check your results and answer any questions.
Aftercare Tips
- Avoid staining foods and drinks (coffee, red wine, curry) during the whitening period.
- Rinse or brush soon after consuming dark-coloured foods and drinks.
- Maintain good oral hygiene and regular dental visits to keep your smile bright.
- Top-up gels can be provided by your dentist for occasional maintenance.
Professional teeth whitening with Boutique Whitening is a safe, convenient, and highly effective way to enhance your smile. With custom-made trays, professional supervision, and lasting results, you can achieve a naturally whiter smile — comfortably and confidently — in just a few weeks.

FAQ
Is teeth whitening safe?
Yes — when carried out by qualified dental professionals using approved products.
How long do results last?
Usually between 12–24 months, depending on diet and oral habits.
Will it make my teeth sensitive?
Some temporary sensitivity is normal, but it usually subsides within a few days.
Why Us?
At Imperial Dental Care, your smile is our priority. We pair clinical expertise with modern technology to provide dentistry that feels personal, comfortable, and reassuring. Every treatment plan is tailored to you — never rushed and never one-size-fits-all.
Our team is hand-picked for both skill and genuine care. We believe great dentistry is built on trust, empathy, and clear communication. From the moment you arrive, you’ll be welcomed by professionals who listen, respect your concerns, and make your experience smooth and stress-free.
We don’t just treat teeth — we care for people.
Your comfort, confidence, and wellbeing matter here.
The hygiene/airflow appointment with Mr Vytautas Berenis is absolutely excellent, professional and outstanding. I would highly recommend him as he works very gently , no pain and the cleaning of the teeth is exceptional. The front desk staff is very polite, nice and helpful.
Thank you all. I will definitely book again .
Bianca Manea
What our patients say
I am very pleased with the service I received. The team showed excellent teamwork and clear communication, which made me feel comfortable throughout the process.
I was given professional and effective treatment for my dental issues, and I truly appreciate the care and attention provided.
Selvaratanam Ganeshan
I had a filling fall out as I was on holiday and being the scaredy cat that I am I waited until I was back in the UK to get it fixed – it was my first time going to Imperial Dental Care as they were the only dentist I could find that had any next day emergency openings; Dr Natasha was extremely professional and gentle and it might’ve been my very first pleasant experience at a dentist 10/10 all around.
Mia Saldanha



