One of the best and most effective ways of replacing lost teeth

If you don’t feel confident about your teeth, dental implants could be the answer. After all, a missing tooth won’t just affect your smile; It will affect the way you feel. Dental Implants are one of the best and most effective ways of replacing lost teeth. By affixing a titanium screw to the bone at the site of the lost tooth, our dentists can place a permanent restoration into your mouth, which will not loosen or fall out with use.

If you are missing one or more teeth and would like the ability to smile, speak, and eat again with the comfort and confidence, then dental implants are your answer. It’s important to replace missing teeth as soon as possible as gaps in the teeth can cause the rest of the dentition to move, very slowly, causing musculofacial changes and discomfort over time.

Our expert dentists can help you decide which implant will be best for you, but in the meantime you can find out more about our general implants and ‘All on 4’ implants here on the website.

The benefits of Dental Implants

  • Give you natural looking teeth.
  • Eat your favourite foods.
  • This is list itemRetain your natural face shape, and smile.
  • Keep your teeth in your mouth – not in a cup.
  • Speak easy.
  • Protect healthy bone.
  • Enjoy life without worrying about your teeth!
  • And we guarantee to put a smile on your face

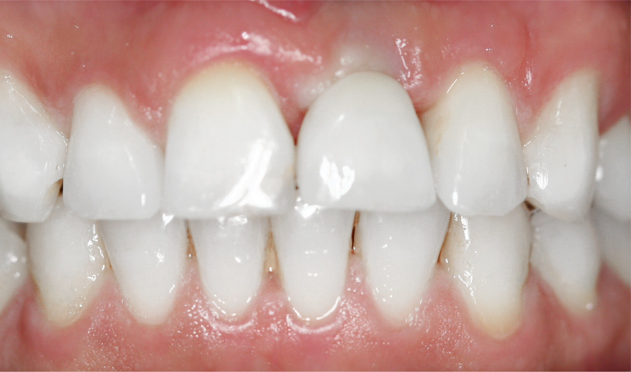
Before & After

Why Us?

At Imperial Dental Care, your smile is our priority. We pair clinical expertise with modern technology to provide dentistry that feels personal, comfortable, and reassuring. Every treatment plan is tailored to you — never rushed and never one-size-fits-all.

Our team is hand-picked for both skill and genuine care. We believe great dentistry is built on trust, empathy, and clear communication. From the moment you arrive, you’ll be welcomed by professionals who listen, respect your concerns, and make your experience smooth and stress-free.

We don’t just treat teeth — we care for people.
Your comfort, confidence, and wellbeing matter here.